Tooth structure preservation is the best way to avoid more invasive therapies. In young patients especially, more conservative techniques should be applied. Bonded porcelain veneers and even more so direct composite restorations are two therapeutic procedures that require the sacrifice of less dental tissue, finalised to the optimal recovery of aesthetic and functional outcome. Although the two techniques employ different methods and materials, it is possible to achieve correct integration of both techniques by certain technical and procedural measures.
In the case presented, restoration of the eight anterior teeth of the maxilla using ceramic veneers and six anterior teeth of the mandible using direct composite restorations was planned. Care was taken in the surface treatment of ceramic restorations with the objective of achieving integration, not only between the natural teeth and restorations but also between the different materials in use. The purpose of this article is to show how proper design of the treatment plan leads to predictable results with both direct and indirect techniques.1
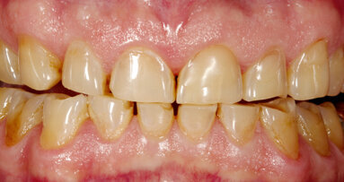
Fig. 1: Initial situation with diastemas in the upper and lower jaws.
Fig. 2: Initial situation with diastemas in the upper and lower jaws.
Fig. 3: Initial situation with diastemas in the upper and lower jaws.
Fig. 4: Initial situation on smiling.
Fig. 5: Initial situation on smiling.
Fig. 6: Initial situation on smiling.
Fig. 7: Initial situation on smiling, lateral and frontal views.
Fig. 8: Initial situation on smiling, lateral and frontal views.
Fig. 9: Initial situation on smiling, lateral and frontal views.
Fig. 10: Digital smile system glasses and digital dental library selected by the software for the smile planning.
Fig. 11: Digital smile system glasses and digital dental library selected by the software for the smile planning.
Fig. 12: Digital smile system glasses and digital dental library selected by the software for the smile planning.
Fig. 13: Intra-oral and extra-oral final digital result.
Fig. 14: Intra-oral and extra-oral final digital result.
Fig. 15: Maxillary and mandibular impressions for the diagnostic models.
Fig. 16: Maxillary and mandibular impressions for the diagnostic models.
Fig. 17: Facial analysis for planning the individual tooth shape.
Fig. 18: Segmentation of the tooth and full segments divided into half segments.
Fig. 19: Plaster model of the pre-op maxillary situation.
Fig. 20: Facial transition
lines.
Fig. 21: First wax-up unit, lateral view.
Fig. 22: First wax-up unit, lateral view.
Fig. 23: Central lobe and incisal cones.
Fig. 24: Wax-up of the entire facial area, frontal and lateral views.
Fig. 25: Wax-up of the entire facial area, frontal and lateral views.
Fig. 26: Wax-up of the entire facial area, frontal and lateral views.
Fig. 27: Lingual view of the waxed up incisal edge.
Fig. 28: Final wax-up and texture.
Fig. 29: Final wax-up of all units.
Fig. 30: Final wax-up of all units.
Fig. 31: Final wax-up of all units.
Fig. 32: Comparison of the pre-op
situation and final wax-up.
Fig. 33: Silicone index for the mock-up in double material.
Fig. 34: Sectioned silicone key on the plaster model for laboratory
reduction.
Fig. 35: Sectioned silicone key on the plaster model for laboratory
reduction.
Fig. 36: Sectioned silicone key on the plaster model for laboratory
reduction.
Fig. 37: Sectioned silicone key on the plaster model for laboratory
reduction.
Fig. 38: Sectioned silicone key on the plaster model for laboratory
reduction.
Fig. 39: Calibrated reduction completed by the laboratory and red marked areas.
Fig. 40: Calibrated reduction completed by the laboratory and red marked areas.
Fig. 41: Silicone index of the preparation for clinician control.
Fig. 42: Surgical silicone index for crown lengthening and cervical contours marked with a red pencil.
Fig. 43: Surgical silicone index for crown lengthening and cervical contours marked with a red pencil.
Fig. 44: Surgical silicone index for crown lengthening and cervical contours marked with a red pencil.
Fig. 45: Surgical silicone index for crown lengthening and cervical contours marked with a red pencil.
Fig. 46: Surgical silicone index for crown lengthening and cervical contours marked with a red pencil.
Fig. 47: Mock-up procedures and result in the mouth in order to evaluate the aesthetic relation between the face and the smile.
Fig. 48: Mock-up procedures and result in the mouth in order to evaluate the aesthetic relation between the face and the smile.
Fig. 49: Mock-up procedures and result in the mouth in order to evaluate the aesthetic relation between the face and the smile.
Fig. 50: Mock-up procedures and result in the mouth in order to evaluate the aesthetic relation between the face and the smile.
Fig. 51: Silicone index for crown lengthening and the new prosthetic marginal design marked in the cervical area with a black pen.
Fig. 52: The palatal-incisal
silicone index was used to establish the space on the incisal margin. Steps before, during and after preparation.
Fig. 53: The palatal-incisal
silicone index was used to establish the space on the incisal margin. Steps before, during and after preparation.
Fig. 54: The palatal-incisal
silicone index was used to establish the space on the incisal margin. Steps before, during and after preparation.
Fig. 55: Silicone index used to check incisal-facial reduction.
Fig. 56: Silicone index used to check facial reduction.
Fig. 57: Silicone index used to check facial reduction.
Fig. 58: Laboratory prepared silicone key adapted to the clinical calibrated preparation.
Fig. 59: Final impression.
Fig. 60: Master dies after pouring, ready to be sectioned and manually worked.
Fig. 64: Solid model
for checking contact points and positions of the veneers.
Fig. 65: Cervical contouring for the new cervical design.
Fig. 66: Cervical contouring for the new cervical design.
67: Horizontal emergence angle
and emergence profile of the veneers.
Fig. 68: Ceramic after the first firing.
Fig. 69: Disk bur being used to groove details.
Fig. 70: Tungsten bur being used for waving grooves.
Fig. 71: Restoration units
after staining.
Fig. 72: Incisal edges of units with reflected light to view incisal effects.
Fig. 73: Glazed ceramic veneers on the plaster model.
Fig. 74: Glazed ceramic veneers on the plaster model.
Fig. 75: Glazed ceramic veneers on the plaster model.
Fig. 76: Glazed ceramic veneers on the plaster model.
Fig. 77: Ceramic opalescence and incisal effects.
Fig. 78: Veneers adapted to the master dies and ready to be delivered to the dental office.
Fig. 79: Definitive restoration of the maxilla.
Fig. 80: Pre-op and post-op situations.
Fig. 81: Pre-op and post-op situations.
Fig. 82: Initial and final lingual situations.
Fig. 83: Initial and final lingual situations.
Fig. 84: Smile before and after the treatment.
Fig. 85: Smile before and after the treatment.
Figs. 86a–c: Pre-op smile and customised smile in facial harmony (a) wearing the mock-up (b) and after definitive restoration (c).
Ceramics and composites present different superficial nano-textures, and this leads to different reflection of light on the surface. In the aesthetic zone, this difference could represent a limit in the choice of restorative material because the two substances interact differently with light. If a little amount of saliva wets the surface, this difference can be seen as shiny and well-defined glassy reflections on ceramics and as matte and blurred reflections on composites. There are techniques that allow manual polishing of the ceramic surface in order to maintain a certain grade of nano-roughness at the surface such to obtain a composite-like reflection of light. In the case presented, a technical workflow to obtain fine integration between the two materials is described.
Case presentation
A 30-year-old male patient presented to the office complaining about his smile. He was uncomfortable with the diastemas between his maxillary anterior teeth and the diastemas on the mandibular arch between the two central incisors and between the two lateral incisors and canines (Figs. 1–9). His expectations were improvement of his smile and the shape of the teeth in order to close all the diastemas.
After consultation with the dentist, the first clinical decision was to employ a digital smile system to create the hypothetical definitive restoration to show directly to the patient on the computer.2–4 This system is employed using special glasses worn by the patient and by capturing extra-oral and intra-oral photographs (Figs. 10–12). All these photographs are exported to the software that will analyse several shapes for the new aesthetic restoration. This software also takes into consideration the facial details of the patient in order to elaborate the anatomical shapes to use for the case. The dental shape chosen from the library is digitally adapted in the intra-oral photograph in order to achieve the new smile configuration. The dentist has the possibility of comparing the harmonious aesthetics between the face and the new smile to show to the patient for his or her approval
(Figs. 13 & 14).
All this information will be sent to the laboratory for the wax-up procedures. It is a tool for communication between the dental office and the laboratory employed in planning a manual wax up. The laboratory always needs guide references for the patient before starting the work. Without the requisite information, the future wax-up done by the dental technician will only be an artistic performance that cannot assure the success of the resin previsualization in the patient’s mouth.5, 6
The laboratory received the impressions and the facebow record; all the digital information was sent via online communication (Figs. 15 & 16). The indications from the dental office was a diagnostic wax-up for veneers from canine to canine and for partial veneers on the two first premolars. The diagnostic models were poured in Class IV dental stone and mounted on the articulator using the facebow record.
Before starting the manual wax-up, a digital analysis of the face was evaluated in order to plan the individual dental shape of the patient. This procedure evidences the clinical and technical planning cooperation between the dental office and the laboratory. The facial analysis was done employing several parametric lines, such as the bifrontal, bizygomatic and bigognatic areas.7 In these facial perimeter references, the planned tooth shape was digitally drawn as an initial technical aesthetic approach before performing the wax-up (Fig. 17).
The diagnostic models mounted on the articulator are ready to use for the diagnostic wax-up. Based on the digital planning of the individual shape, the dental technician will start to perform the wax-up by first establishing the position of the two facial transition lines. The position of the two facial transition lines is determined by the cervical contour design. When we have cases where diastemas have to be closed, the final shape of the teeth will be always different from the original one. The findings of the relative importance of facial geometry were different and depended on the segments they formed. The perimeter of each tooth form was sectioned into smaller segments employing the Dental Anatomical Combination technique.8 If necessary, these full segments can be further divided in half, resulting in six half segments: mesial cervical, mesial body, mesial incisal, distal cervical, distal body and distal incisal (Fig. 18).9
This system will enable dental professionals to go beyond the usual creative standards in aesthetic restoration. The entire shape of the tooth will be produced creating the central lobe and the incisal cones in order to achieve the final dental configuration. The characteristics of tooth form are not separate entities; rather, they combine to create a single feature. In other words, a tooth is crossed by grooves that determine the 3D anatomical areas.10, 11
Once the wax-up had been done, all the silicone keys for the dental office could be created (Figs. 19–32). On the basis of the wax-up, several silicone tools were made. The first silicone key was done in double material and used for the mock-up (Fig. 33). Other sectioned silicone keys with different cuts were made for intra-oral positioning to check the spaces during the preparation procedures (Figs. 34–38).12–14 The laboratory fabricated a preparation tooth on the replica of the master modelusing the sectioned silicone keys. All the ground areas of the teeth were marked with a red pencil for better communication with the dental office (Figs. 39 & 40). Furthermore, an extra sectioned silicone key of the preparation was created to fit in the mouth in order to compare the laboratory and the clinical preparation (Fig. 41). In this way, the dentist can improve and calibrate the final preparation design, supporting the laboratory in the final ceramic build-up. This step will be documented and moved into a Keynote file (Apple) in order to allow the dentist to evaluate the future calibrated preparation. This work protocol is very helpful for the clinician to see where and how to grind areas of the teeth before grinding teeth in the patient’s mouth. Furthermore, a soft tissue cervical silicone index was created for crown lengthening on teeth #12, 13, 22 and 23 (Figs. 42–46).15, 16 The technical approach and planning are at this point complete and ready to be delivered to the dental office with all the necessary information to treat the patient.
The clinician began executing the pre-visualisation of the new technical project by injecting resin material into the mould and pressing it in the mouth to show the new dental anatomical configuration to the patient (Figs. 47–50).17–19 The patient accepted the new dental plan, and the clinician scheduled the next chairside appointments for crown lengthening, tooth preparation and impression taking. In cooperation with the dental technician, the dentist evaluated all the details to perform a suitable preparation to allow the laboratory to build up the ceramic veneers appropriately. The Keynote file from the laboratory on the pre-preparation was carefully analysed by the dental office.
The first appointment was for crown lengthening, and an appointment for tooth preparation was scheduled a few days later (Fig. 51). The sectioned silicone keys were placed in the mouth to start calibrated preparation of the teeth (Figs. 52–57).20 The dentist performed the preparation of the teeth in the same areas as the laboratory did previously. The final control of the preparation was done using the silicone key of the final laboratory preparation that has to have a close adaptation in the mouth like on the plaster model (Fig. 58).
With this procedure, the dentist prepared only some areas of the tooth, avoiding aggressive reduction of the tooth structure. Once all these clinical steps had been completed, a final impression was taken for fabrication of the veneers. The mock-up silicone index was used to create the provisional restoration for the patient with a direct technique.
The laboratory received the final maxillary impression with the opposing plaster model already poured in the beginning for the technical treatment plan. This time, a facebow record was not performed because the mandibular opposing model was already mounted on the articulator for the diagnostic wax-up in the previous individual registration.
The maxillary model was fabricated in Class IV dental stone in several pours: the first pour was of the master dies, the second pour was of a solid model and the third pour was of an alveolar model. The master dies are used only to fit the veneers once they have been removed from the refractory flask. The solid model is used only to check the contact points and the position of the veneers carefully. The alveolar model is used only to fabricate the veneers according to the soft-tissue references (Figs. 59–64). This last detail is very important for establishing the position of the facial transition lines of the tooth. Furthermore, the cervical contour concept for the new cervical design was applied.
When there is no preparation on the cervical margin, both the dentist and dental technician have to establish the more apical position of the veneer margin. The choice of this apical position has to be manageable for the clinician during cementation procedures. The emergence angle profile of the veneer has to start with a horizontal design to sculpt the soft tissue and subsequently change direction in order to build the desired emergence profile of the tooth (Figs. 65–67).
The model used to build up the veneers is an alveolar model. The dies are removable, and the operator has the soft tissue cast in dental stone.12 The refractory flask is placed into the alveolar site, and a connector paste is applied on the preparation surface to create a glassy surface in order to allow the dental technician to layer ceramic. The stratification of the ceramic is a sophisticated multilayer technique using a variety of ceramic masses to simulate the natural contrast effects inside the tooth. After the first firing the dental technician created some grooves on the ceramic surface for applying the stain technique procedures, firing the colours at a different final temperatures (Figs. 68–72). The last ceramic layering modification was performed at the end, achieving the desired anatomical contour after the correction firing. In the incisal area, a double incisal wall technique was executed.21, 22
The dental technician used a handpiece to shape the restoration for the final glaze appropriately. After this step, the final texture was evaluated and different lines were marked on the entire facial surface of the veneers with several burs.12, 23, 24 The veneers were then ready to be glazed and manually polished (Figs. 73–77).
The next step was the removal of the veneers from the refractory dies with a sandblasting procedure using glass beads. After this step, the veneers were adapted to the master dies under the magnification of a microscope. In this procedure, the operator has to create stability of the veneers on the master dies, catching up the most suitable contact points on the intaglio surface.12, 25 Once all the veneers had been adapted to the master dies, they were moved on to the solid model to check the contact points. After this, the veneers were sent to the dental office for a final try-in and cementation (Fig. 78).
The cementation was performed using a dental dam for complete total isolation of each unit, and the dentist restored the mandibular teeth employing a direct composite technique.26 The entire restoration was completed with ceramic restorations in the maxilla and composite in the mandible. The patient’s individual anatomical shade and smile were personalised in relation to his facial configuration (Figs. 79–86).
Discussion
The patient had a wide smile and elevated expectations in terms of aesthetics and conservative treatment. The optimal treatment options for the anterior teeth were different owing to the residual healthy substance: porcelain veneers in the maxilla and direct composite restorations in the mandible. The surface finish of ceramic generally leads to bright glossy surfaces, and the result is long-lasting. In contrast, composite resin surfaces seems to lose their polish over time, owing to functional wear and abrasive toothpastes, acquiring a typical matte and opaque surface. This difference may not be noticeable on wet teeth, but may be revealed when the teeth are dry. For aesthetic restorations, both porcelain veneers and composite restorations are predictable treatments.
Calibrated preparation using technical tools is fundamental for preserving more tooth structure and performing aesthetic veneers. Because there is no cervical finishing line, the dental technician manages the most apical margin position of the veneer by creating the suitable emergence angle in order to establish the right emergence profile subsequently. The soft tissue is conditioned according to the cervical contour concept, and the model is based on the cervical design. This allows the dental technician to maintain the suitable anatomical proportions of the tooth from the cervical surface to the incisal edge.
In order to achieve good integration in appearance and form, close collaboration with the dental technician is essential, facilitating correct design of the case through the basic steps of the diagnostic wax-up and direct mock-up.
Acknowledgements
The author is grateful to Dr Stefano Lombardo of Turin in Italy for his clinical performance and the opportunity given to the author to complete the laboratory procedures for the case presented.
Editorial note: A list of references is available from the publisher. This article was published in CAD/CAM―international magazine of digital dentistry Vol. 11, Issue 2/2020.
Tags:
To post a reply please login or register