Search Dental Tribune

Fig. 1: Initial situation, facial view. ( All image: Wissam Dirawi)

Wed. 18 September 2024

save

During the last decade, zirconia has increasingly become established as the material of choice in prosthodontics. Its excellent mechanical and inert properties are the main reason for this trend. Since the introduction of multilayered zirconia blanks more than ten years ago, the material’s optical properties have been improved dramatically. The multilayered zirconia used nowadays (e.g. KATANA Zirconia YML, Kuraray Noritake Dental) offers well-balanced mechanical properties, translucency and colour. It allows dental technicians all over the world to produce aesthetic full-contour restorations that only require staining.

Even in the anterior region, stained monolithic restorations may be an option. Factors such as the age of the patient, the internal colour structure of the adjacent dentition, the number of teeth to be restored (one versus four or all six maxillary anterior teeth), the aesthetic demands of the patient and financial aspects should be taken into account in the material selection process. In the case described in this article, full-contour zirconia was selected for several reasons.

Background

The 71-year-old female patient presented in the clinic owing to aesthetic concerns in the maxillary anterior region. Her oral hygiene was good, and she was a non-smoker. Infraposition of the existing implant-based crown (Brånemark regular platform, Nobel Biocare) in the position of the right central incisor was evident. Moreover, gingival retraction was observed on the maxillary right lateral incisor, and the left lateral incisor (tooth #22) had a major composite filling with discoloration (Figs. 1–3). The patient expressed the desire to have the gingival margin differences adjusted and the four maxillary incisors restored with ceramic crowns for optimal aesthetics.

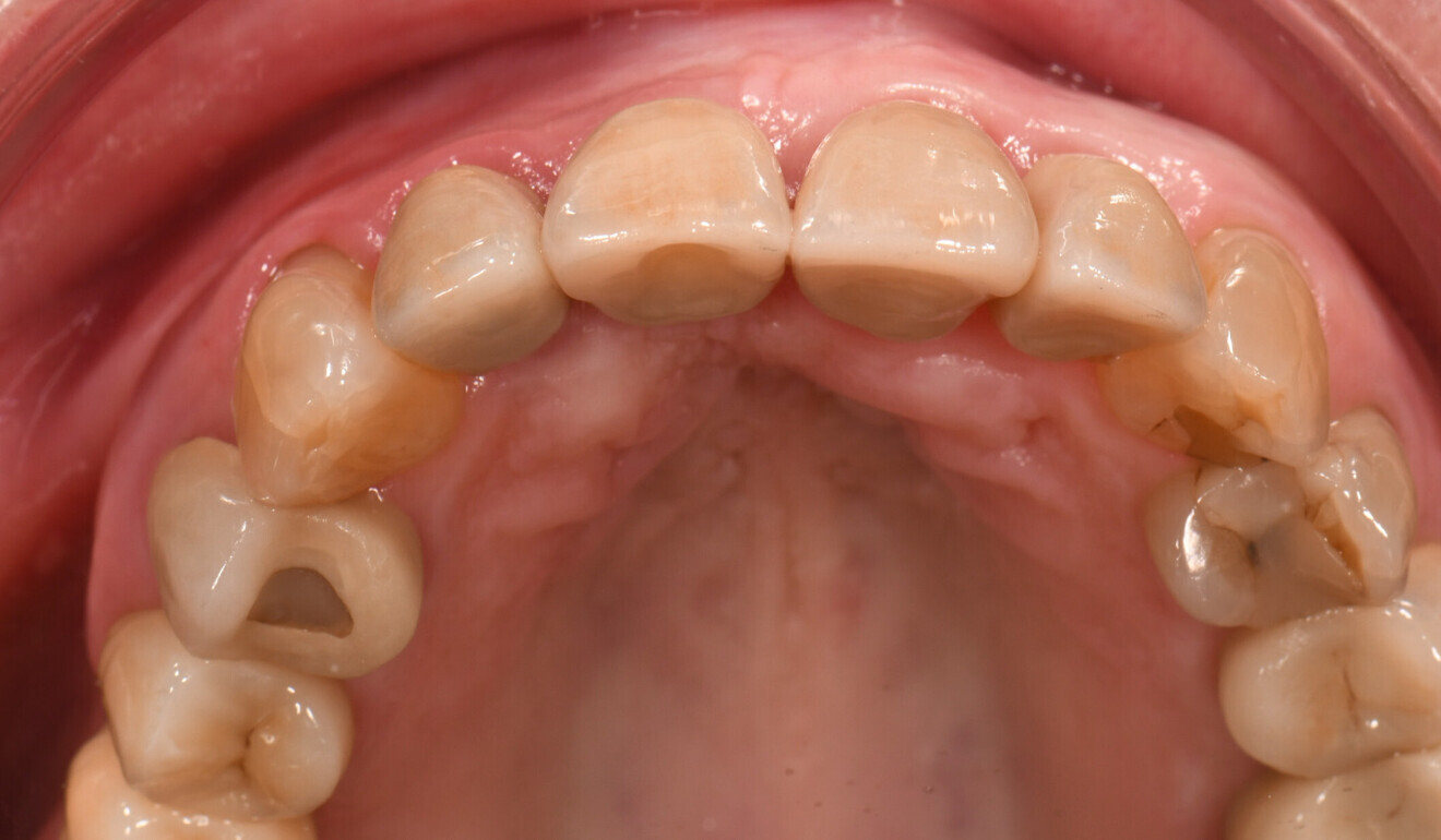
Fig. 2: Initial situation, occlusal view of the maxilla.

Fig. 2: Initial situation, occlusal view of the maxilla.

Fig. 3: Initial situation, occlusal view of the mandible.

Fig. 3: Initial situation, occlusal view of the mandible.

Fig. 4: Chairside-produced temporary bridge in the patient’s mouth.

Fig. 4: Chairside-produced temporary bridge in the patient’s mouth.

Material selection

Owing to the decision to restore all four anterior incisors, monolithic zirconia was deemed a suitable material option. It would allow the team to obtain the desired results within the financial requirements. In order to meet the aesthetic demands of the patient, provide for the required mechanical properties and allow for proper masking of the underlying structures, KATANA Zirconia YML was selected. It offers colour, translucency and flexural strength gradation throughout the multilayered blank.

Treatment procedure: From preparation to temporisation

In order to design the indirect restorations, a digital impression was taken with an intra-oral scanner, and the data was transferred to the dental laboratory (Teknodont). The laboratory created a digital wax-up. After the patient’s approval, a matrix was produced and sent to the clinic. The old restorations were removed and the three maxillary incisors (all but the one replaced by an implant) prepared for complete crowns. A healing abutment was placed on the implant and a temporary bridge produced chairside from Protemp 4 temporisation material (3M ESPE) in Shade A3 using the matrix (Fig. 4). Subsequently, a gingivectomy was carried out with a ceramic bur (KT.314.016 CeraTip, Komet) at the buccal aspect of teeth #21 and 22.

Fig. 5: Printed model with gingival mask.

Fig. 5: Printed model with gingival mask.

Fig. 6: Printed model with splinted PMMA crowns.

Fig. 6: Printed model with splinted PMMA crowns.

Fig. 7: Laboratory-made temporary restorations.

Fig. 7: Laboratory-made temporary restorations.

Fig. 8: Long-term temporary restorations in place, lateral view from the right.

Fig. 8: Long-term temporary restorations in place, lateral view from the right.

Fig. 9: Long-term temporary restorations in place, frontal view.

Fig. 9: Long-term temporary restorations in place, frontal view.

Fig. 10: Long-term temporary restorations in place, lateral view from the left.

Fig. 10: Long-term temporary restorations in place, lateral view from the left.

After the patient’s approval of the aesthetics, phonetics and function of the temporary restoration, the situation was captured with an intra-oral scanner again. This allowed the team to duplicate the shape of the restoration. Based on the data acquired, two pairs of splinted temporary crowns were milled from PMMA (HUGE Multilayer PMMA, HUGE Dental) in Shade A3 in the laboratory (Figs. 5–7). They were placed to allow the patient to further evaluate the appearance and function for several weeks (Figs. 8–10). The patient was happy with the phonetics, function and appearance of the crowns, noting only that they were slightly too bright in comparison with the adjacent teeth, and she approved the shape for the production of the permanent restorations.

Final restoration: Production and cementation

Based on the data set of the temporary restorations, four separate crowns—one for the implant and three for the teeth—were designed in full contour. Without any anatomical reduction, the restorations were milled from KATANA Zirconia YML. Based on the evaluation of the temporary restorations, the shade selected this time was Shade A3.5. CERABIEN ZR FC Paste Stain (Kuraray Noritake Dental) was used for external staining and glazing of the surface. The laboratory also cemented the implant-based crown to the gold-shaded titanium abutment (Elos Medtech) with PANAVIA V5 (Kuraray Noritake Dental) in the shade Opaque for an improved masking effect (Fig. 11). In the office, the abutment–crown was screwed on to the implant and the screw access hole closed with composite, and the three tooth-based crowns were then placed using PANAVIA SA Cement Universal (Figs. 12–15).

Fig. 11: Final restorations on the model.

Fig. 11: Final restorations on the model.

Fig. 12: Intra-oral situation prior to restoration placement.

Fig. 12: Intra-oral situation prior to restoration placement.

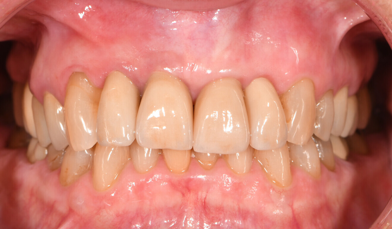
Fig. 13: Immediate treatment outcome, facial view.

Fig. 13: Immediate treatment outcome, facial view.

Fig. 14: Immediate treatment outcome, frontal view.

Fig. 14: Immediate treatment outcome, frontal view.

Fig. 15: Immediate treatment outcome, occlusal view.

Fig. 15: Immediate treatment outcome, occlusal view.

Conclusion

Multilayered zirconia is a suitable material for many clinical situations. Owing to the availability of highly translucent multilayered blanks, it is now possible to produce aesthetic outcomes even when using the material monolithically, and this is true not only in the posterior region but in the aesthetic zone in some cases too. The present case demonstrated that very good results and patient satisfaction can be obtained. Moreover, as a result of the material’s outstanding mechanical properties, these outcomes may be expected to last for a long time.

Editorial note:

This article was also published in CAD/CAM―international magazine of dental laboratories vol. 15, issue 1/2024.

Topics:
Tags:
To post a reply please login or register
advertisement
advertisement