Digital advancements have revolutionised dentistry, providing efficient, precise dental care.1 Intra-oral scanners are replacing traditional means of taking impressions, enabling virtual models for implant placement, orthodontics and prosthodontics, for example.2 Scan bodies aid in digitising implants, while CAD/CAM improves prosthesis design and fabrication.3 Milling and 3D printing offer speed, accuracy and complexity in creating dental prostheses.4 These innovations promise a bright future for dental professionals and patients.
Case presentation
The integration of digital technologies in dentistry has brought about significant advancements in dental care.1 This case study presents the comprehensive dental rehabilitation of a patient utilising a digital workflow involving extraction, provisional dentures, implant surgery, intra-oral scanning, 3D-printed try-ins and final monolithic prostheses.
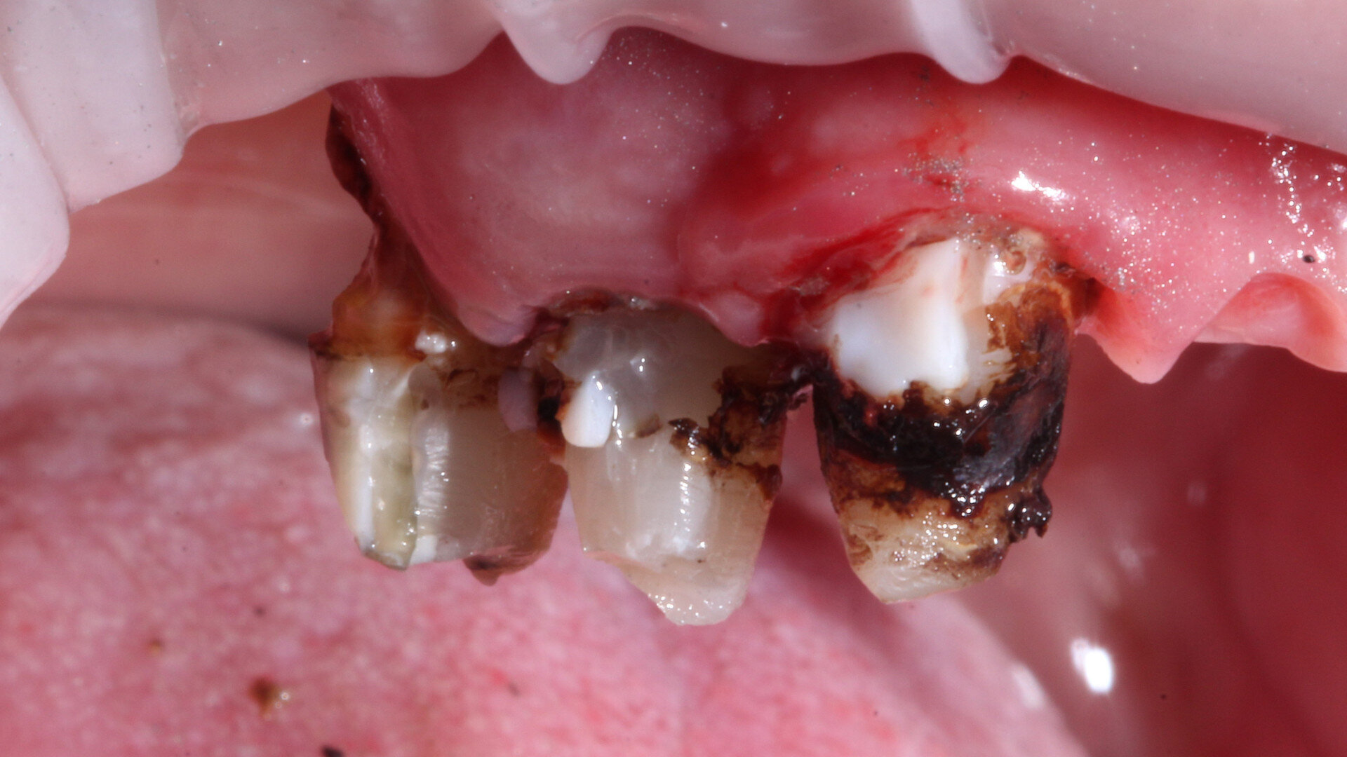
Extraction of severely decayed teeth
The first step in the patient’s dental rehabilitation involved the extraction of severely decayed teeth. This procedure was necessary to eliminate the source of infection and discomfort and to prepare the oral cavity for the subsequent steps in the rehabilitation process. The dentures were later used to simplify the guided surgery planning.5 After the extraction, the patient was provided with appropriate postoperative care instructions, and a healing period was allowed before proceeding with the next steps (Fig. 1).
Fig. 2: Dental implants placed in the lower jaw.
Dentures during the healing period
During the healing period of approximately seven months, the patient was fitted with dentures to replace the extracted teeth. This temporary solution allowed the patient to maintain oral function, appearance and confidence while the extraction sites healed and the oral tissue was prepared for the implant surgery.6
Implant surgery
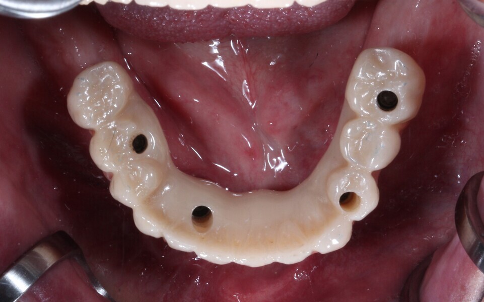
Six implants were placed in the upper jaw, while only four were placed in the lower jaw (Fig. 2). This decision was based on the patient’s individual needs and oral anatomy. Studies have shown that the number of implants required for optimal support and stability depends on various factors, including bone quality and quantity, implant position and prosthesis design.7 Research suggests that six implants in the upper jaw and four in the lower jaw are sufficient to provide adequate support for a full-arch fixed prosthesis, high success rates and patient satisfaction having been reported.7 Additionally, placing fewer implants can help reduce surgical time and cost, as well as minimise the risk of complications associated with placement of multiple implants. Therefore, this approach was deemed appropriate for this particular patient’s case.
Intra-oral scanning and digitisation
After the implant surgery, intra-oral scanning was performed using scan bodies from the implant manufacturer, Straumann. This process accurately digitised the position and orientation of each implant in the patient’s mouth. For the lower jaw, Luxatemp (DMG) was used to splint the single-use scan bodies, simplifying the intra-oral scanning process by providing additional geometrical landmarks in an area with fewer natural reference points (Figs. 3–5). Intra-oral scanning has become an indispensable tool in modern dentistry, providing detailed and accurate digital impressions of patients’ oral cavities and replacing the traditional methods of impression taking .2Recent research has investigated the accuracy of intra-oral scanners for full-arch implant cases and shown promising results.8 One study found that intra-oral scanners were comparable to conventional impressions in terms of accuracy and precision when used for full-arch implant cases and offered advantages such as reduced material and labour costs and faster turnaround times.9 Additionally, the use of geometrical landmarks, such as via scan bodies and splinting materials, can further enhance the accuracy and reproducibility of intra-oral scanning (Fig. 6).10 The digital workflow is particularly advantageous in implant dentistry, as it allows for improved communication and collaboration between dental professionals, laboratories and patients, as well as provides a more streamlined and efficient treatment process.
Fig. 3: Scan bodies in situ for intra-oral scanning.
Fig. 4: Splinted scan bodies in the lower jaw.
Fig. 5: Intra-oral scan of the implant positions.
Fig. 6: Digital impression of the patient’s oral cavity with scan body alignment in dental CAD software.
3D-printed try-ins
After the digitisation of the implants, two sets of 3D-printed try-ins were fabricated for both jaws. The first set, the validator set, was designed with gaps between the implant positions (Fig. 7). These gaps allowed for the detection of tension when the validator was seated, fractures occurring in the small gaps if tension was present. This step ensured that the final prostheses would fit accurately and comfortably without undue stress on the implants or surrounding tissue (Figs. 8–10). The validators had the same design as the second set of try-ins, the only difference being that the validators were cut between the implants using a virtual disc cutter and the attachment function in exocad software. It is crucial to ensure that the titanium bases or bar is firmly seated within the validator, which can preferably be achieved using resin cement. The validator should be retained with the same torque as the manufacturer recommends for the final restoration.
Fig. 7: 3D-printed validator try-in with gaps between implant positions.
Fig. 8: Seating of the validator try-in in the patient’s mouth.
Fig. 9: Validator try-in seated in the patient’s mouth.
Fig. 10: Adjusted validator try-in without fractures in the lower jaw.
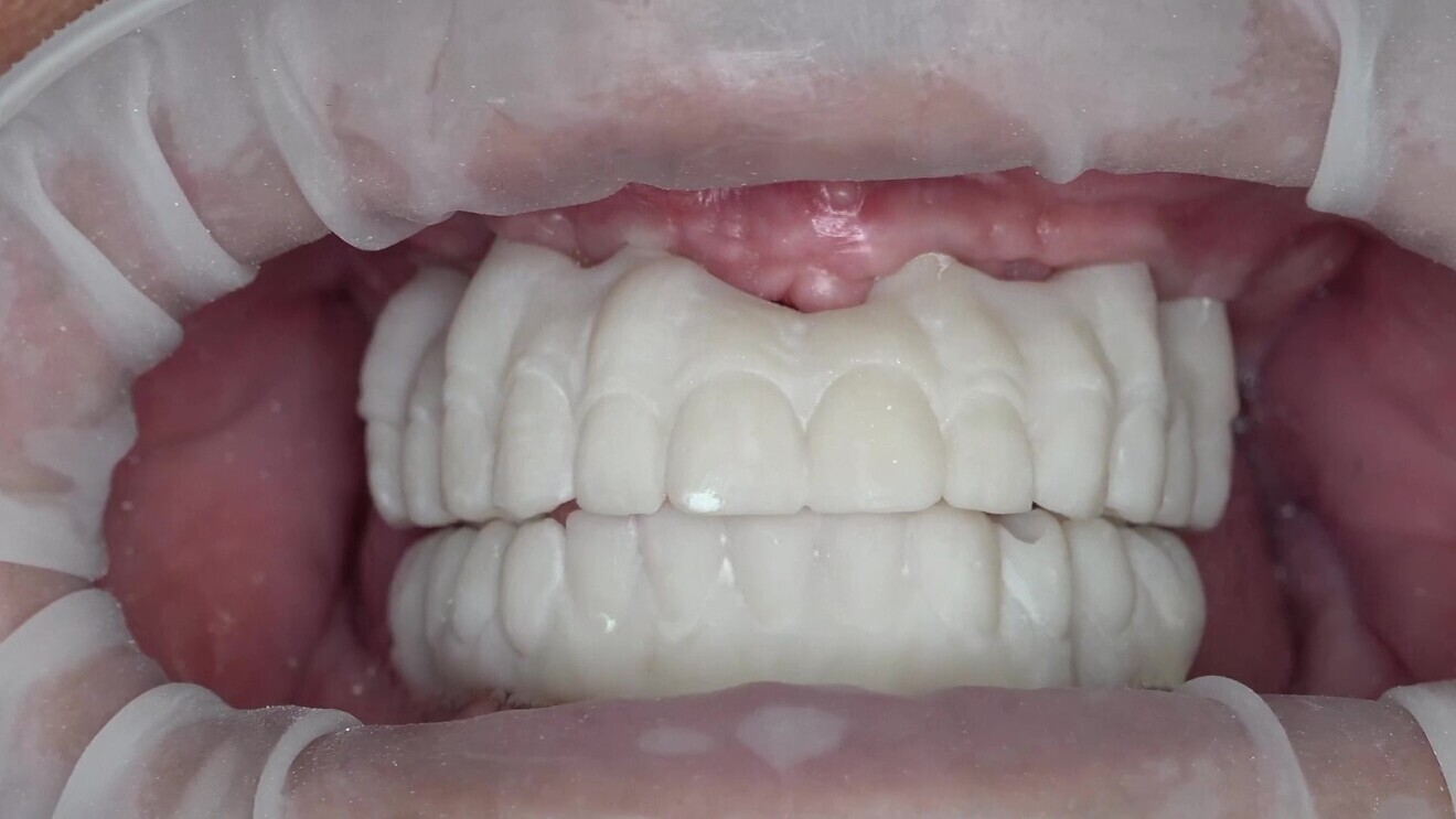
The second set of try-ins was used to check various factors, including aesthetics, occlusion, bite height, hygiene capability, phonetics and function. One important consideration is to avoid using the OptraGate retractor (Ivoclar) when checking the bite. The retractor affects muscular activity and could negatively impact the validation process. These final try-ins closely resembled the final prostheses and were used to make any necessary adjustments before fabricating the final prostheses (Figs. 11 & 12).
In this case, the validator did not break, and we did not need to make any changes to the validator. If a fracture is present, the practitioner needs to identify and locate the source of the misfit. He or she should then attach the broken segments with composite, remove the validator and sent it back to the laboratory for precision scanning. If the operator has to change the occlusion or adjust anything on the try-in, a new intra-oral scan will have to be taken so that the technician can adjust accordingly.
Both the validators and the try-ins were made on titanium bases from the manufacturer. Furthermore, it is possible to use the validators as both a validation of fit and for all other checks, removing the need for two different sets. The same procedure is possible for bridge base constructions, minimising the de-cementation risk of titanium bases.
Fabrication of the final prostheses
Once the validators and try-ins had been successfully checked, the final prostheses were fabricated using the same features and specifications as those of the try-ins. This step ensured that the final prostheses would accurately represent the validated try-ins, providing a comfortable, functional and aesthetically pleasing result for the patient. In this step, it is important to use a material that has the aesthetic features and material properties for manufacture of the full anatomy as a monolithic restoration.11Studies have shown that monolithic zirconia prostheses exhibit high fracture resistance and excellent long-term clinical performance, making them a suitable material choice for full-arch fixed implant-supported prostheses.12 A fully digital workflow requires the user to validate intra-orally and then adjust the initial CAD accordingly and verify that whatever is designed is shown as close as possible in the manufacturing process (Figs. 13 & 14). If the technician has to add veneering material or in any other way change key morphological parts of the restoration, the digital workflow will be less reliable.
Fig. 11: Final try-ins in CAD software.
Fig. 12: The patient wearing the nal try-ins. OptraGate was used to simplify the photography process.
Fig. 13: CAD of the lower jaw prosthesis.
Fig. 14: Try-in of the lower jaw prosthesis.
“The integration of digital technologies in dentistry has significantly improved the efficiency, precision and outcomes of dental treatments [...].”
,
In this case, the final prostheses were fabricated using monolithic KATANA Zirconia YML (Kuraray Noritake Dental). This high-quality material offers excellent strength, durability and aesthetics for dental restorations. The staining process was performed using CERABIEN ZR FC Paste Stain (Kuraray Noritake Dental) to achieve a natural appearance and blend seamlessly with the patient’s existing dentition. PANAVIA V5 in the shade Opaque and CLEARFIL CERAMIC PRIMER PLUS (both Kuraray Noritake Dental) were used to cement the bases (Elos Accurate Hybrid Base H Non-Engaging compatible with Straumann Standard and Standard Plus 4.8 mm diameter, regular neck implants; Elos Medtech; Figs. 15–22).
Fig. 15: CAD view of the designed prosthesis in the context of the patient’s smile.
Fig. 16: Cementation of the Elos Accurate Hybrid Base H Non-Engaging bases with PANAVIA V5 and CLEARFIL CERAMIC PRIMER PLUS.
Fig. 17: The nal prosthesis on the day of delivery.
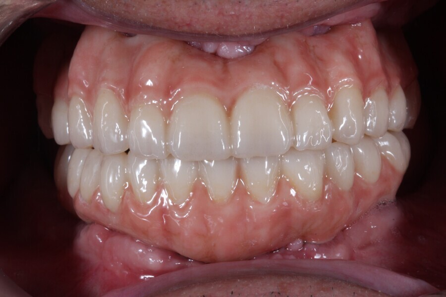
Fig. 18: Final prostheses of monolithic KATANA Zirconia YML, stained using CERABIEN ZR FC Paste Stain. The dark gingiva spots were stained with the shade Red, the light pink surfaces with the shade Pink and the highlights with the shade Salmon Pink.
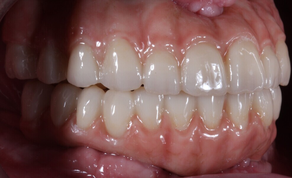
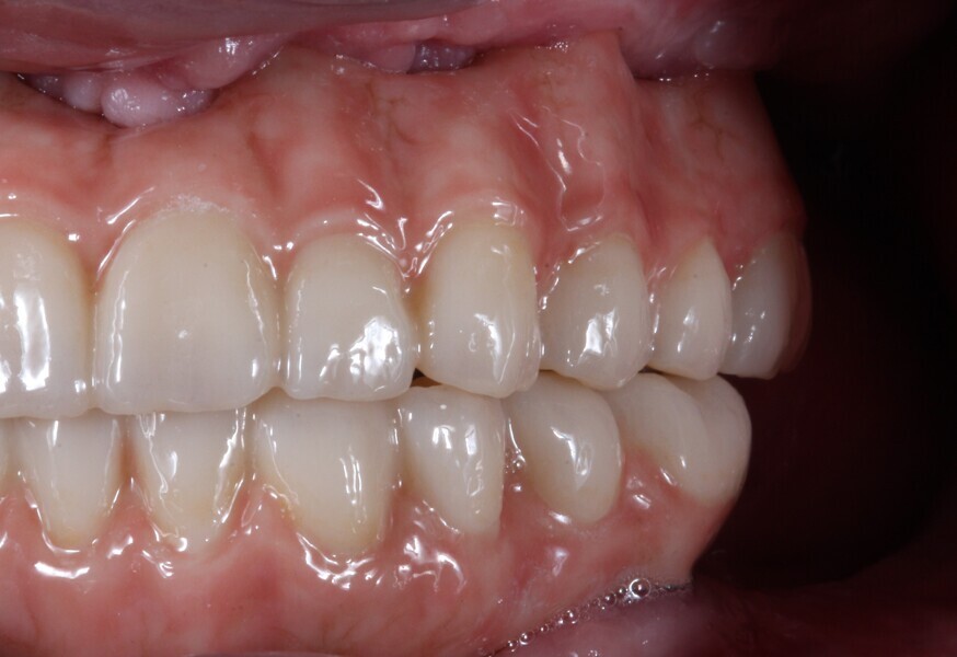
Fig. 19: Final prostheses, right side view. The cervical parts were stained with the shade Cervical 2, the incisal two thirds of the anterior teeth with the shade Grayish Blue and the mamelons with the shade Mamelon Orange 1.
Fig. 20: Final prostheses, left side view.
Fig. 21: Final maxillary prosthesis, occlusal view.
Fig. 22: Final mandibular prosthesis, occlusal view.
Conclusion
This case study demonstrates the successful application of a digital workflow in a comprehensive dental rehabilitation involving extraction, provisional dentures, implant surgery, intra-oral scanning, 3D-printed try-ins and final monolithic zirconia prostheses. The integration of digital technologies in dentistry has significantly improved the efficiency, precision and outcomes of dental treatments, resulting in enhanced patient care and satisfaction. As technology continues to advance, it is expected that digital dentistry will continue to evolve, offering even greater possibilities for dental professionals and patients alike.
HELSINKI, Finland: Brazilian prosthodontist Dr Thiago Ottoboni made the transition to digital dentistry a couple of years ago. Today, he uses digital dental...
CHARLOTTE, N.C., US: CEREC on DS Core simplifies chairside workflows for teams new to digital dentistry. The cloud-based approach supports starting with ...
The Virtual Facebow has been developed as an open-source tablet app that provides an alternative to the conventional facebow for the mounting of casts to an...
KOBLACH, Austria: With its Ceramill Direct Restoration Solution (DRS), Amann Girrbach has extended its integrated digital workflow to the dentist and thus ...
CHARLOTTE, N.C., US/COPENHAGEN, Denmark: Dentsply Sirona, the world’s largest manufacturer of professional dental products and technologies, and 3Shape, a...
UMEÅ, Sweden: As post-pandemic research continues to examine how different public health responses shaped oral healthcare access and outcomes, a new study ...
HELSINKI, Finland: In a recent study conducted at the University of Helsinki in Finland, researchers investigated whether oral health abnormalities could ...
AARHUS, Denmark: Recent research increasingly highlights the importance of ecology-based strategies in caries prevention. A new human clinical study has ...
In our clinical practices, dentine hypersensitivity (DH) has always been a challenge. Our best approach was to suggest at-home solutions such as sensitivity...
HELSINKI, Finland: Visitors to Planmeca’s booth at the International Dental Show (IDS) from 14 to 18 March will be treated to exclusive demonstrations of ...
Education
Live webinar Wednesday, 22. April 2026 17:00 CET (Oslo)
To post a reply please login or register