Patients often present to the dental office asking how long it will take to complete a full-mouth dental implant rehabilitation from start to finish. Additionally, their concern is whether dental implants can be placed in the same surgical visit in which the extractions are done and, if so, whether they can be loaded with immediate fixed provisional restorations. Having various methods and materials to facilitate a full-mouth dental implant rehabilitation within fewer visits as well as a shorter amount of time will enhance the demand for this type of treatment within your office as well as benefit your patients.
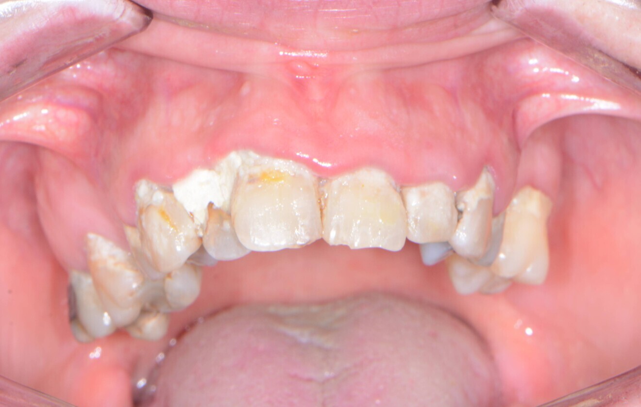
A patient presented to my practice for a consultation, wanting to restore her maxillary dentition to proper form and function (Figs. 1 & 2). She complained of generalised discomfort in these maxillary teeth apparently due to advanced decay as well as periodontal disease. Although her mandibular dentition would require definitive treatment in the future, the patient wanted to focus on her maxillary teeth at that time.
Planning
The clinical evaluation included gathering information regarding lip length and support at rest and at smiling, existing position of the natural teeth, occlusion and restorative space. In addition, digital images of the frontal, side and occlusal views of the dentition, as well as complete facial shots, were captured with a Nikon D7200 (PhotoMed).
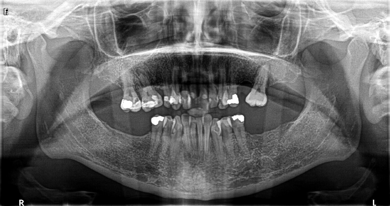
A CBCT scan and panoramic radiograph using the CS 8100 3D (Carestream Dental; Fig. 3) were taken to accurately capture the information needed to properly plan the treatment for this case that would ensure the most ideal outcome, especially since the patient had discussed how unhappy she was with her existing gummy smile. Using the CS 3D imaging software (Carestream Dental), dental implants were virtually planned in key positions to biomechanically support a full-arch fixed hybrid restoration in the maxillary arch (Fig. 4).
Fig. 1: Pre-op retracted frontal view.
Fig. 2: Pre-op occlusal view.
Fig. 3: Pre-op panoramic radiograph.
Fig. 4: Planning with the CS 8100 3D (Carestream Dental).
To further develop the treatment plan, diagnostic model impressions were taken using Silginat polyvinylsiloxane impression material (Kettenbach), poured up and forwarded to the dental laboratory. These models were then mounted on an articulator (Stratos 100, Ivoclar) for further analysis in order to meet the patient’s aesthetic and functional needs.
Financing options using a third-party payment option (LendingClub) were discussed with the patient to make this treatment as affordable as possible within her budget. This discussion was a very important part of facilitating acceptance of her care, since it made the cost of treatment more feasible.
Fig. 5: Surgical guides and provisional restoration.
A 3D virtual treatment plan was further developed from our planning with the CS 3D imaging (Carestream Dental) software, integrating it with the digital photographs and analogue models. A virtual online integrative meeting with the dental laboratory (Pittman Dental Laboratory) allowed for a comprehensive review of the assembled digital and clinical information to formulate an optimal prosthetically driven treatment plan that would fulfil the necessary requirements for aesthetics, form and function. Within a short amount of time, the dental laboratory had fabricated all the necessary guides for positioning, levelling, drilling and implant placement, in addition to the PMMA provisional restoration and back-up dentures (Fig. 5).
In my practice, I have found that utilising surgical guides in implant dentistry increases the predictability of treatment outcomes as well as makes the procedure extremely efficient. In the past, implant placement routinely took place freehand, but this approach heightened the risk of damage to anatomical structures and lengthened the duration of the surgery. I personally feel that surgical guides give clinicians more confidence in accurately placing implants in any type of case, whether it is a single unit or full-mouth rehabilitation. Precision surgery reduces stress, decreases liability and leads to a better outcome for the patient.
The implants that would be utilised for this case were Touareg-OS dental implants (Adin Dental Implant Systems). The Touareg-S and Touareg-OS spiral implants are tapered with a spiral tap that condenses the bone during placement for immediate stability. There are two large variable threads and a tapered design for accurate implant placement, self-drilling, improved aesthetics and better load distribution. The implants feature a special rounded apex that pushes the bone graft with minimal harm to anatomical structures. In addition, Touareg-OS implants feature the company’s biocompatible and osteoconductive OsseoFix implant surface. This has proved to achieve the desired roughness levels for optimal osseointegration, attain the highest implant surface purity levels and increase the success rate of bone-to-implant contact.
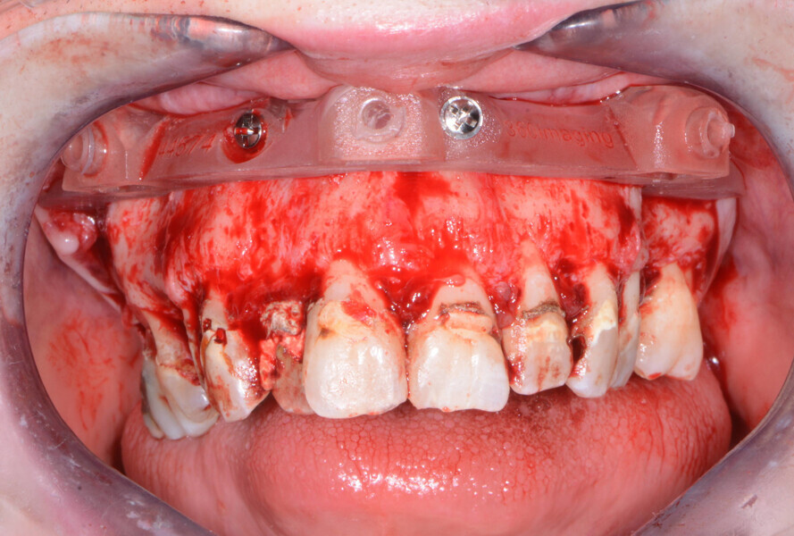
Once the virtual plan had been orchestrated by the laboratory and fully confirmed by me, the next appointment was for the planned surgery with all the necessary components for the guided surgical approach. The patient was appropriately sedated with intravenous medications, and local anaesthesia was administered in both arches. The tissue was then reflected using the Reflector instrument (GoldenDent) so that the bone levelling surgical guide would be fully seated and fixed with its respective retention screws (Figs. 6 & 7). After the positioning of the surgical guide, the maxillary teeth were atraumatically extracted from anterior to posterior utilising the Physics Forceps (GoldenDent). Using a bone reduction bur in the surgical handpiece and motor (Aseptico) with ample irrigation, the maxillary ridge was trimmed to the level indicated by the guide. Once the appropriate bone levelling had been accomplished with the surgical handpiece, the implant surgical guide (Fig. 8) was positioned into the bone levelling guide and the osteotomies for the implants were initiated with a designated pilot drill in the implant system’s guided surgery drilling kit (Adin Dental Implant Systems; Fig. 9).
Fig. 6: Positioning guide.
Fig. 7: Maxillary bone levelling foundation guide.
Fig. 8: Maxillary implant surgical guide.
Fig. 9: Guided surgery dental implant kits.
Using precise orientation, depth and direction, the guided surgery kit provides fast, effective and predictable preparation and placement of dental implants for dental practitioners. Included in the kit are easy-to-read self-centring drills with built-in stoppers. Furthermore, ActiveFlow irrigation technology directs cooling saline through the guide, ensuring that irrigation reaches the bone and thereby reducing the possibility of bone heating throughout the procedure.
Utilising the Mont Blanc surgical handpiece and AEU 7000 surgical motor (both Aseptico) at a speed of 850 rpm with copious amounts of sterile saline, sequential drill preparation was initiated. Once the osteotomies were complete, the drivers in the guided surgery kit (Fig. 10) were used to place the dental implants with precise timing so that the flat portion of the internal hex was positioned ideally for the receiving multi-unit abutments.
A baseline implant stability quotient (ISQ) reading was taken of these implants utilising the Penguin RFA unit (Aseptico). Since the initial readings were all above 72 ISQ and the quality of bone after levelling was good, transmucosal abutments (Adin Dental Implant Systems) were tightened into the Touareg-OS dental implants to 30 Ncm, followed by temporary cylinders to 15 Ncm.
Any residual areas around the implants or in the sockets were grafted with a mineralised and demineralised cortical bone grafting material (GoldenDent) to optimise the area for regeneration.
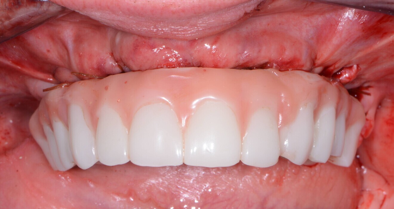
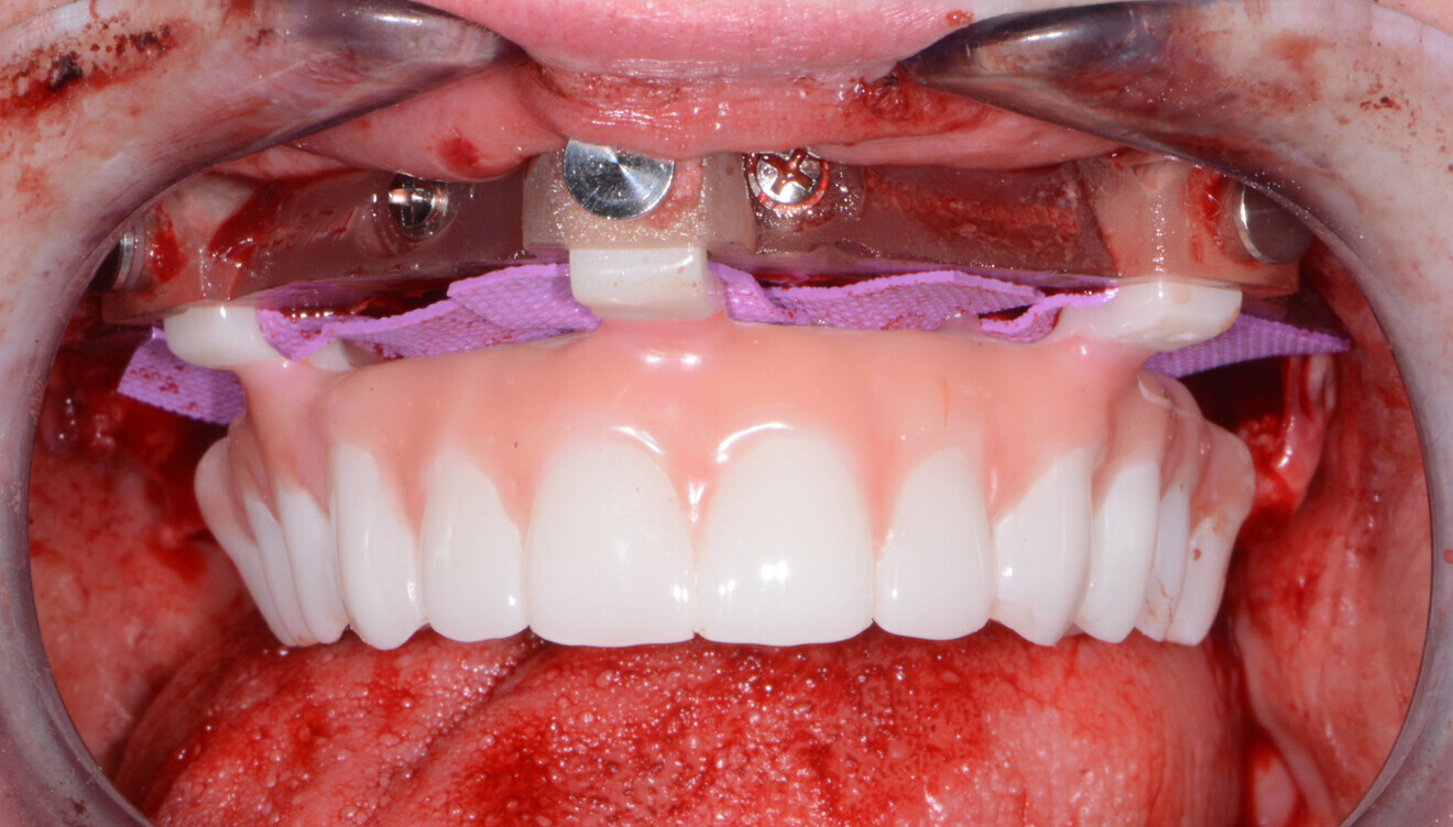
The maxillary provisional restoration was tried in to verify a passive fit over the temporary abutments. Once fit had been confirmed, trimmed dental dam pieces (COLTENE) were placed to avoid the restoration (Fig. 11) locking on during the relining procedure with REBASE III FAST hard relining material (Tokuyama Dental). After the material had polymerised, the immediate provisional restoration was removed and excess material was removed with the Torque Plus laboratory handpiece (Aseptico) and an acrylic bur (Komet). Once trimmed and polished, the provisional restoration was seated and tightened with a torque wrench to 15 N cm (Fig. 12). The access openings were filled in three-quarters of the way with PTFE tape, followed by Cavit filling material (3M ESPE).
A few days later, the patient returned for her postoperative appointment with very little discomfort, swelling or bruising. She was very pleased with her new maxillary fixed provisional restoration. The occlusion was further checked and adjusted to confirm that there were no interferences in lateral or protrusive movements.
Four months later, the patient presented for impressions for the definitive restoration. Using a heavy- and light-bodied polyvinylsiloxane material (Panasil, Kettenbach) in a stock tray, an open-tray impression was taken of the maxillary arch using transmucosal impression posts (Adin Dental Implant Systems; Figs. 13 & 14). From this impression, the dental laboratory fabricated a PMMA try-in of the proposed maxillary restoration for try-in and evaluation.
Fig. 11: Maxillary provisional restoration positioned on the guide.
Fig. 12: Maxillary provisional restoration in situ.
Fig. 13: Transmucosal impression posts.
Fig. 14: Open-tray impression.
Fig. 15: Definitive hybrid restoration.
Fig. 16: Monolithic hybrid restoration with the titanium frame shown.
Once tried in, the restoration was evaluated for midline, incisal edge and smile line. The occlusal record was accomplished using Futar Fast bite registration material (Kettenbach). Within several weeks, the definitive restoration (monolithic zirconia on a titanium frame) was completed and delivered to the dental practice (Figs. 15 & 16). When the patient returned, the hybrid restoration was inserted and torqued to the manufacturer’s suggested settings (Figs. 17–19) and the access openings were sealed with PTFE, followed by composite.
Conclusion
When patients present to the dental practice in need of a full-mouth dental implant rehabilitation, they want the treatment performed and delivered in a short amount of time and preferably in one location. Utilising CBCT surgical guides, dental practitioners can provide prosthetically driven treatment that is as effective and predictable as possible. In conclusion, with the proper training and appropriate materials, dental practitioners can provide extraction, grafting, implant placement and fixed provisional restorations within one appointment at one location.
The patient was instructed on how to clean and maintain her dental restoration. In addition, we reviewed the importance of scheduled professional cleaning and overall oral health habits. With her enhanced look, the patient was motivated to care for her investment (Fig. 20).
A webinar on 5 June will provide dental professionals with the knowledge and skills to harness the power of digital tools in dentistry. The presentation ...
When a patient presents to your dental practice with questionable and/or non-restorable teeth requiring full-mouth extractions, the greatest concern is ...
SALLANCHES, France: French implantology specialist Anthogyr—part of the Straumann Group—is known for its strength in innovation and high-performance ...
COPENHAGEN, Denmark: EMS is currently presenting its evidence-based Guided Biofilm Therapy (GBT) at EuroPerio10, focusing on modern oral prevention. To ...
Dental implants to replace missing teeth have become an integral part of current conventional dentistry. Accepted protocols now include two-stage delayed ...
MALMÖ, Sweden: New research conducted at Malmö University has found that radiation exposure from dental imaging can be reduced for paediatric patients ...
Digital advancements have revolutionised dentistry, providing efficient, precise dental care.1 Intra-oral scanners are replacing traditional means of taking...
Anti-ageing is a branch of medicine focused on how to prevent, slow or reverse the effects of ageing, thus helping people to live longer and healthier ...
SOLNA, Sweden: Quacquarelli Symonds (QS), a leading global higher education analyst, has recently published its annual QS World University Rankings by ...
GOTHENBURG, Sweden: As the popularity of snus continues to grow, so too does the diversity of products available, which now include portion-packed snus and ...
To post a reply please login or register